Removable and Fixed Fully Edentulous Treatment Options for the Aging Patient

Stephen Parel, DDS

February 2019 Course - Expires Tuesday, August 31st, 2021

Inside Dental Assisting

Abstract

As the number of seniors in the United States continues to rise, edentulism remains a serious ailment affecting many elderly patients. Though many seniors are taking fuller dentitions into their later years due to a greater emphasis on oral health maintenance than in the past, this growing population still often requires creative edentulous treatment solutions from skilled clinicians. Fortunately, with the evolution of implant dentistry various possibilities are available to treat edentulous aging patients with removable and/or fixed options. This article will review aging as it relates to the use of dentures and discuss prosthetic restorative alternatives for senior patients. It also will examine the impact of caries, neurosensory disorders, facial esthetics, and chronologic aging on dental treatments.

You must be signed in to read the rest of this article.

Login Sign Up

Registration on CDEWorld is free. You may also login to CDEWorld with your DentalAegis.com account.

Patients aged 65 years and older are a growing population in the United States. Older dental patients commonly present with a variety of conditions, including edentulism. Restoring aging, edentulous patients, particularly those who have experienced decades of denture use and subsequent alveolar bone atrophy, can be a challenge to clinicians; however, a number of possibilities are currently available using dental implant therapy. This article will explore both removable and fixed prosthetic options for this expanding demographic group.

Aging and the Denture

It is unfortunate that one of the most commonly accepted forms of therapy for a failing dentition is a complete set of dentures. Whether this is due to socioeconomic constraints, family history of long-term denture use, or simply fear of an alternative procedure, the mid- to long-term consequence as these patients age and reach senior status is inevitably bone loss.1-4 Denture bone loss patterns can be significantly more rapid in the mandible than in the maxilla, and this treatment may represent the single most destructive procedure option the dental profession can offer patients when the natural dentition is no longer salvageable. Ironically, the dichotomy between the most esthetic restoration in dentistry (ie, the denture) and the most destructive one (ie, the denture) is often lost on the prescribing practitioner until the damage may be too significant to treat effectively in the aging patient.

A classic example of potential damage from long-term denture wear may be the severely atrophic mandible, where causative factors seem to exacerbate with age. For example, there was a time when ceramic denture teeth were considered a therapeutic means of maintaining the vertical dimension of occlusion, but often did so at the expense of the underlying bone. Fifty years ago half of the US population lost all of their teeth between the ages of 65-75, which in terms of denture wear longevity also contributed to potentially greater bone loss, especially in the mandible.5

The use of dental implants to treat denture damage has been a focus of the dental profession since the 1940s with devices such as blade or subperiosteal implants. With the exception of the transosseous staple implant, none of the early implant scenarios had enough evidence or documentation to be considered realistic options given today's criteria of success.6-8

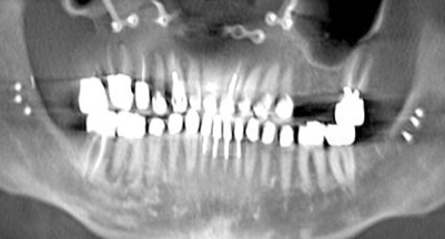
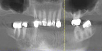
The Toronto Conference in 1982, chaired by Professor George Zarb and presented by Professor Per-Ingvar Brånemark, was a seminal event that changed edentulous treatment planning concepts irrevocably. No longer was it necessary to rebuild lost bone through grafting alone in either arch. The severely atrophic mandible, for example, could be treated with as few as four implants used to support a bone-sparing prosthesis through integrated tooth analogs, as demonstrated in Figure 1 through Figure 3. Here, an 81-year-old patient presented with severe mandibular atrophy (Figure 1) from denture wear since a very young age and had a history of being unable to manage a mandibular prosthesis despite numerous attempts at new denture construction. Four vertical machined-surface osseointegrated implants were placed in 1983 by Professor Brånemark, and all four penetrated the inferior cortex up to 3 mm to 4 mm in depth, as shown on the immediate postoperative panoramic film (Figure 2). At 4 years and 5 months, reparative bone had formed to the apices of all implants (Figure 3), and all of them remained in uncompromised function until the patient passed away at age 90.

Severe maxillary atrophy may have a different etiology compared to that of the mandible, but the resultant resorption is no less debilitating. Grafting in the upper arch is increasingly less common with the advent of implant types such as zygoma that are anchored in remote bone and offer a far less traumatic and functionally improved option, especially for an aging patient. This is illustrated in Figure 4 and Figure 5. The patient had worn both a removable partial denture and full lower denture for more than 40 years with resulting severe maxillary atrophy opposing a natural dentition. Four zygoma implants were placed using the "quad" approach9,10 in lieu of a bone graft procedure (Figure 4). The final restoration remains in function in the patient's seventh decade (Figure 5).

Aging and Caries

Once thought to be a condition mainly for the pediatric and young adult population, the occurrence of dental caries has been elevated to the level of a medical model for disease consideration.11,12 Caries etiology, prevention, and treatment now also focuses on the senior population, ie, those in the 65 to 75 years and older age groups, as these individuals live longer and retain their dentition in far greater numbers than previous generations. They also are more pharmacologically dependent than ever, and more than half of the 500 most common medications they may use list xerostomia as a side effect.13 Changes in salivary function due to aging can also occur as a result of factors such as mouth breathing or receiving radiation treatment, and this can produce a form of caries that may be persistent and insidious.14 Recurrent caries under existing restorations may be more likely to occur and difficult to detect until its destructive effects become evident. Cervical and root caries also may increase asymptomatically, adding another layer of diagnostic concern for the older population.15

This demographic shift may play a role in contemporary treatment planning, especially for younger patients who present with a high caries index historically. These individuals may have a reasonably healthy dentition periodontally but can be projected to continue to have carious breakdown with aging that will be more difficult to treat in a nursing home environment at a later time in life and lead to a situation where extensive dental rehabilitation becomes either impractical or unavailable.

Interceptive implant therapy may then become a consideration earlier in life to create restorations that will not be subject to the latent effect of dental caries as aging continues. An example is shown in Figure 6 and Figure 7; the panoramic film of a 56-year-old man shows several orthognathic and extensive dental procedures historically. All full-coverage restorations had been replaced for a second time, and, again, all evidenced recurrent caries, but the existing dentition was periodontally sound and relatively esthetic.

The choice of removing a caries-challenged but restorable dentition at a younger age is ethically complex. Ultimately, the decision is the patient's alone based on informed consent of all available options. The removal of a potential lifetime of caries activity that is now more predictable than ever may be a viable option for this high-risk segment of a younger patient base.

Aging and Neurosensory Disorders

Aging generally results in a decreased blood flow to the brain, sometimes as much as 20%, and this percentage may increase with smokers, diabetics, those with hypertension, and those with atherosclerotic disease.16,17 Changes in myelin degradation and synaptic transmission can affect neuromotor function, and a decrease in peripheral sensory nerve cells can impair some sensory-based activities.18

Given the array of neurologic disorders that can be related to changes patients may experience with age, and the related cognitive or coordination issues associated with each presentation, there may be no general treatment concept that will apply universally. Implants may provide significant benefits in mastication or digestion but may not be as easily managed as those placed in a less-challenged individual.

A patient with tardive dyskensia, for example, may experience dramatic changes in expressive facial activity and corresponding dysfunction in the muscle memory needed to repeat a centric position.19,20 Figure 8 and Figure 9 show an 82-year-old patient who had previously been treated for depression, had a failing dentition, and was diagnosed with tardive dyskensia. Extreme uncontrolled contortions of the facial musculature were evident in the patient when attempting to record a high smile line; removal of enough maxillary bone to hide the transition line was impossible. Dramatic compromises in occlusal scheme may be necessary to achieve even a moderately successful result; yet the implant approach realistically may be the only way to offer any functional improvement (Figure 10 and Figure 11).

Aging and Facial Esthetics

Facial morphology changes with time, with virtually no exception for gender or systemic health. Among the changes that occur in the esthetic zone is a predictable loss in tissue elasticity that can create an inverse smile display over time.21 In repose, the display of the maxillary incisors may, in fact, change from 3 mm on average at age 30 to 1 mm or more of negative display at age 60.22,23 The emphasis on facial display may, therefore, change from managing the incisal edge esthetics to minimizing the mandibular component with dramatic changes sometimes occurring in occlusal plane position.

Aging and Chronologic Age

Whether dealing with denture complications or a failing natural dentition, the decision-making process for senior patients in transitioning to an implant restoration often rests on the individual's perception of their remaining life expectancy. Current life table analytics aside, many feel that they cannot justify the effort or expense based on the time they may have left to enjoy the benefits of osseointegration.

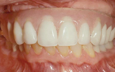
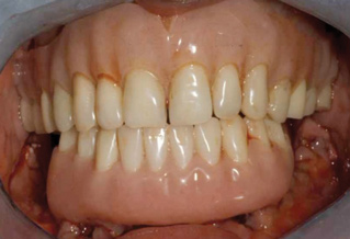
This is an unfortunate mindset in that current advances in protocol and technology can result in significant advantages in addressing some or most of these concerns. The patient shown in Figure 12 may serve to illustrate this point. She had a destroyed maxillary dentition, a less-compromised but highly unesthetic mandibular component, and a single goal: to be able to "smile at my grandchildren again." In consultation with her and her family, it was decided that a double-arch fixed implant approach would most realistically address her esthetic goals and provide her with the desired prosthetic result. She was 102 years old at the time of initial consultation. Using a staged operating-room approach, provisional restorations were initially delivered, followed by subsequent definitive hybrid final restorations. She was able to use these comfortably for the next 6-½ years (Figure 13 and Figure 14).

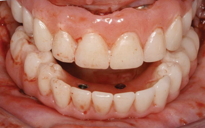
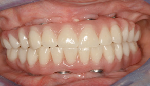
As an alternative to the relatively expensive traditional hybrid restoration that the senior population may perceive as unattainable at their age, an immediate-load all-resin provisional may often be a reasonable option as an entry-level prosthesis. This can serve for extended periods or indefinitely, and when made with a sufficient volume of resin and opposing a light occlusion such as a maxillary denture, it can offer the benefit of fixed retention at a significant reduction in expense (Figure 15 and Figure 16). Technology involving a guided approach for placing three implants universally in the same sites with pre-manufactured, one-size-fits-all bar components in the mandible can now allow placement of a final restoration in one day, again at a significantly reduced cost (Figure 17 and Figure 18).24-26 Both of these fixed options—the resin long-term provisional and the three-implant bridge—are economically comparable to the most commonly considered implant prosthesis for elderly patients, the two-implant overdenture. In contrast to the latter, however, both fixed restorations offer significant advantages in bite force, bone preservation, maintenance, and patient satisfaction that are simply unachievable with the removable implant overdenture prosthesis.27-31

Conclusion

While challenges in restoring the aging patient to a reasonable functional level are always present, the possibilities now available using implant therapy for this segment of the population are increasingly encouraging. This is especially so in combating the ever-present potential for bone loss with removable prosthetics, including implant overdentures. This patient demographic will benefit from advances in immediate-load fixed provisionalization and same-day final restoration delivery concepts, which provide an even better functional outcome with physiologic protection of remaining osseous structures.

About the Author

Stephen Parel, DDS

Private Practice, Dallas, Texas

 

Queries to the author regarding this course may be submitted to authorqueries@aegiscomm.com.

References

1. Tallgren A. Alveolar bone loss in denture wearers as related to facial morphology. Acta Odontol Scand. 1970;28(2):251-270.

2. Tallgren A, Lang BR, Miller RL. Longitudinal study of soft-tissue profile changes in patients receiving immediate complete dentures. Int J Prosthodont. 1991;4(1):9-16.

3. Atwood DA. Reduction of residual ridges in the partially edentulous patient. Dent Clin North Am. 1973;17(4):747-754.

4. Carlsson GE, Ericson S. Postural face height in full denture wearers. A longitudinal x-ray cephalometric study, Acta Odontol Scand. 1967;25(2):145-162.

5. Douglass CW, Shih A, Ostry L. Will there be a need for complete dentures in the United States in 2020? J Prosthet Dent. 2002;87(1):5-8.

6. Small IA, Misiek D. A sixteen-year evaluation of the mandibular staple bone plate [erratum in J Oral Maxillofac Surg. 1986;44(10):789]. J Oral Maxillofac Surg. 1986;44(1):60-68.

7. Carlsson L, Röstlund T, Albrektsson B, et al. Osseointegration of titanium implants. Acta Orthop Scand. 1986;57(4):285-289.

8. Albrektsson T, Brånemark PI, Hansson HA, Lindström J. Osseointegrated titanium implants. Requirements for ensuring a long-lasting, direct bone-to-implant anchorage in man. Acta Orthop Scand. 1981;52(2):155-170.

9. Aboul-Hosn Centenero S, Lázaro A, Giralt-Hernando M, Hernández-Alfaro F. Zygoma quad compared with 2 zygomatic implants: a systematic review and meta-analysis. Implant Dent. 2018. doi: 10.1097/ID.0000000000000726. Epub ahead of print.

10. Balshi TJ, Wolfinger GJ, Petropoulos VC. Quadruple zygomatic implant support for retreatment of resorbed iliac crest bone graft transplant. Implant Dent. 2003;12(1):47-53.

11. Featherstone JD, Doméjean S. The role of remineralizing and anticaries agents in caries management. Adv Dent Res. 2012;24(2):28-31.

12. Featherstone JD. Remineralization, the natural caries repair process-the need for new approaches. Adv Dent Res. 2009;21(1):4-7.

13. Yanase RT, Le HH. Caries management by risk assessment care paths for prosthodontic patients: oral microbial control and management. Dent Clin North Am. 2014;58(1):227-245.

14. Pjetursson BE, Brägger U, Lang NP, Zwahlen M. Comparison of survival and complication rates of tooth-supported fixed dental prostheses (FDPs) and implant-supported FDPs and single crowns (SCs) [erratum in Clin Oral Implants Res. 2008;19(3):326-328]. Clin Oral Implants Res. 2007;18(suppl 3):97-113.

15. Sreebny LM, Schwartz SS. A reference guide to drugs and dry mouth—2nd edition. Gerodontology. 1997;14(1):33-47.

16. Müller F, Shimazaki Y, Kahabuka F, Schimmel M. Oral health for an ageing population: the importance of a natural dentition in older adults. Int Dent J. 2017;67(suppl 2):7-13.

17. Hubbard BM, Squier M. The physical aging of the neuromuscular system. In: Tallis J, ed. The Clinical Neurology of Old Age. London: John Wiley and Sons; 1989:137-142.

18. Faggion CM Jr. Critical appraisal of evidence supporting the placement of implants in patients with neurodegenerative diseases. Gerodontology. 2016;33(1):2-10.

19. Yassa R, Jones BD. Complications of tardive dyskinesia: a review. Psychosomatics. 1985;26(4):305-313.

20. Rana AQ, Chaudry ZM, Blanchet PJ. New and emerging treatments for symptomatic tardive dyskinesia. Drug Des Devel Ther. 2013;7:1329-1340.

21. Vig RG, Brundo GC. The kinetics of anterior tooth display. J Prosthet Dent. 1978;39(5):502-504.

22. Sarver DM. Growth maturation aging: how the dental team enhances facial and dental esthetics for a lifetime. Compend Contin Educ Dent. 2010;31(4):274-283.

23. Fradeani M. Evaluation of dentolabial parameters as part of a comprehensive esthetic analysis. Eur J Esthet Dent. 2006;1(1):62-69.

24. Parel SM. A system for definitive restoration of single-stage implants in one day. Dent Today. 2002;21(2):106-111.

25. Chow J, Hui E, Liu J, et al. The Hong Kong Bridge Protocol. Immediate loading of mandibular Brånemark fixtures using a fixed provisional prosthesis: preliminary results. Clin Implant Dent Relat Res. 2001;3(3):166-174.

26. Engstrand P, Gröndahl K, Ohrnell LO, et al. Prospective follow-up study of 95 patients with edentulous mandibles treated according to the Brånemark Novum concept. Clin Implant Dent Relat Res. 2003;5(1):3-10.

27. Goodacre CJ, Kan JY, Rungcharassaeng K. Clinical complications of osseointegrated implants. J Prosthet Dent. 1993;70:135-140.

28. Vogel R, Smith-Palmer J, Valentine W. Evaluating the health economic implications and cost-effectiveness of dental implants: a literature review. Int J Oral Maxillofac Implants. 2013;28(2):343-356.

29. Haraldson T, Carlsson GE. Bite force and oral function in patients with osseointegrated oral implants. Scand J Dent Res. 1977;85(3):200-208.

30. Jacobs R, van Steenberghe D, Nys M, Naert I. Maxillary bone resorption in patients with mandibular implant-supported overdentures or fixed prostheses. J Prosthet Dent. 1993;70(2):135-140.

31. Jacobs R, Schotte A, van Steenberghe D, et al. Posterior jaw bone resorption in osseointegrated implant-supported overdentures. Clin Oral Implants Res. 1992;3(2):63-70.

Fig 1. 81-year-old patient had severe mandibular atrophy from many years of denture wear and had a history of inability to manage a mandibular prosthesis.

Figure 1

Fig 2. Four vertical machined-surface osseointegrated implants placed in 1983 penetrated the inferior cortex up to 3 mm to 4 mm in depth, immediate postoperative.

Figure 2

Fig 3. At 4 years and 5 months follow-up, reparative bone had formed to the apices of all implants.

Figure 3

Fig 4. Four zygoma implants placed using “quad” approach.

Figure 4

Fig 5. Final restoration remains in function.

Figure 5

Fig 6. Panoramic radiograph of 56-year-old patient illustrating a number of dental procedures historically.

Figure 6

Fig 7. Existing dentition was sound periodontally and reasonably esthetic.

Figure 7

Fig 8. Failing dentition in an 82-year-old patient currently diagnosed with tardive dyskensia.

Figure 8

Fig 9. Transition line could not be hidden due to uncontrolled contortions of the facial musculature.

Figure 9

Fig 10. Recording a repeatable centric position was virtually impossible for this patient due to spasticity of the masticatory system. Among the compromises necessary in creating an occlusal scheme was to revert to a monoplane approach.

Figure 10

Fig 11. Recording a repeatable centric position was virtually impossible for this patient due to spasticity of the masticatory system. Among the compromises necessary in creating an occlusal scheme was to revert to a monoplane approach.

Figure 11

Fig 12. Treatment to restore this patient’s smile and functionability commenced when she was 102 years old.

Figure 12

Fig 13. An All-on-4 approach was used to treat both arches with interim immediate and eventual definitive restorations.

Figure 13

Fig 14. Final restorations used for 6-1/2 additional years.

Figure 14

Fig 15. This all-resin interim restoration, which served as a fixed long-term provisional for more than 5 years, is an example of an entry-level option that offers the physiologic benefits of a long-term fixed restoration but with an economic equivalence to a mandibular two-implant overdenture.

Figure 15

Fig 16. This all-resin interim restoration, which served as a fixed long-term provisional for more than 5 years, is an example of an entry-level option that offers the physiologic benefits of a long-term fixed restoration but with an economic equivalence to a mandibular two-implant overdenture.

Figure 16

Fig 17. A three-implant fixed bridge may be an immediate-load alternative for a fixed restoration as opposed to a two-implant overdenture. In addition to significant cost reduction due to pre-manufactured components, the final long-term restoration is delivered on the day of surgery.

Figure 17

Fig 18. A three-implant fixed bridge may be an immediate-load alternative for a fixed restoration as opposed to a two-implant overdenture. In addition to significant cost reduction due to pre-manufactured components, the final long-term restoration is delivered on the day of surgery.

Figure 18

CREDITS: 0
AGD CODE: 670 - Removable Prosthodontics
COST: $0
PROVIDER: Conexiant Education
SOURCE: Compendium of Continuing Education in Dentistry | February 2019

Learning Objectives:

  • Discuss the impact of long-term denture wear on a patient's mandibular and maxillary bone
  • Explain why caries etiology, prevention, and treatment now also focuses on the senior population
  • Describe possible restorative solutions for patients with neurosensory disorders and facial morphology changes over time

Disclosures:

The author reports no conflicts of interest associated with this work.

Queries for the author may be directed to justin.romano@broadcastmed.com.