Single-Site Immediate Implant Placement and Restoration

Sonia Leziy, DDS

April 2023 Issue - Expires Tuesday, September 30th, 2025

Inside Dental Assisting

Abstract

With appropriate case selection, treatment planning, and surgical techniques, immediately placed implants demonstrate similar survival rates to conventionally placed ones. Benefits of immediate placement for patients include reduced treatment times and sometimes costs. Although restoration options include immediate, early, and conventional loading protocols, the decision to immediately restore should be determined by the insertion torque value/primary stability achieved. The three key factors to achieving primary stability and reducing micromovement in immediate placement approaches are management of the bone, appropriate implant size/design selection, and management of the occlusal forces. This article presents important treatment planning considerations for immediate implant placement, examines anterior and posterior anatomic factors that affect immediate placement, and explores the treatment protocols that are essential to achieving success in immediate approaches.

You must be signed in to read the rest of this article.

Login Sign Up

Registration on CDEWorld is free. You may also login to CDEWorld with your DentalAegis.com account.

The replacement of teeth with dental implants using a variety of protocols has been well documented for patients who require partial or full-arch rehabilitations. When managing a failing tooth or teeth, the goals are to carry out extraction with minimal trauma and to preserve the bone and soft tissue to improve the success of implant treatment outcomes. Implant placement and restoration options include delayed, late, early,  and immediate protocols. This article reviews various single-site immediate implant placement and restoration concepts and techniques and attempts to demystify the protocols that contribute to successful implant integration and imperceptible, stable, and esthetic results.

Immediate Implant Restoration Options

There are various implant placement and restoration protocols available for the management of small sites. Immediate implant placement was first reported by Lazzara in 1989.1 Although the survival rate of immediately placed implants has been reported to be similar to those placed into healed sites, appropriate case selection is the key to success. In a 2014 International Team for Implantology (ITI) consensus statement, Morton and colleagues described the case selection criteria that are essential to achieving survival rates equal to conventional protocols.2 Immediate implant placement is referred to as a Type 1 protocol, which is further modified with a letter based on the restoration protocol. Type 1A is immediate implant placement with an immediate loading protocol, Type 1B is immediate implant placement with an early loading protocol, and type 1C is immediate implant placement with a conventional loading protocol.3 These immediate implant placement protocols, especially Type 1A, offer the benefit of reduced treatment time, which is appealing to both the clinician and the patient. In addition, immediate placement in multirooted extraction sites combined with guided tissue healing presents tissue contour advantages.4

Planning Considerations for Immediate Protocols

When treatment planning the extraction of a single tooth for immediate implant placement, there are many considerations involved, including patient-related factors and those involving implant selection, workflow, and more.

Treatment Risk Factors

Commonly recognized risk factors include patient and anatomical ones, as well as those associated with the procedure/treatment approach and materials used, but the clinician's knowledge and skill are also important elements of risk, especially in immediate placement protocols.5,6

Case Evaluation

This is a broad category that applies to all treatment protocols. The ITI's SAC Assessment Tool can be helpful in assessing risk for various treatment protocols and includes the following categories: general patient-related risk, esthetic risk, surgical complexity, and prosthetic risks.7 In addition to using the SAC Assessment Tool, conducting an esthetic risk analysis can be valuable to prepare the patient and clinician for the potential risks of treatment, regardless of the surgical and restorative approach.8

Implant Design

Recognizing that achieving primary stability in extraction sites is more challenging than in healed ones, the use of tapered implants may be considered to achieve better primary stability for immediate implant placement. Kan and colleagues reported decreased rotational instability with tapered implants in immediate placement protocols.9 Utilizing an implant with well-defined threads that improve lateral bone engagement may improve stability (Figure 1 through Figure 4). Conceptually, it makes sense to use tapered implants or those with threads that cut and condense bone; however, there is little evidence in the literature supporting superior primary stability based on implant design.10 Although implant design may offer advantages, clinicians should focus more on site preparation and final drill selection as the keys to achieving adequate primary stability.

Digital Workflow

For immediate implant placement protocols, digital planning and guided execution help to minimize the common preparation and insertion errors that can occur.11 In anterior sites, the challenge is typically to avoid drifting facially during the osteotomy preparation, which often results in facial implant positioning with a risk for postoperative recession and compromised esthetics.12 Compensation for possible remodeling and subsequent facial volume and tissue height changes is required and can be achieved through the use of bone/soft-tissue grafting or partial extraction therapy concepts.

In the molar region, the preparation of sites with large septa presents its own challenges, especially when carried out in an analog fashion. Fully guided preparation of the osteotomy and implant placement reduces the potential for the drill to drift or the implant to migrate into the adjacent socket defects (Figure 5 through Figure 9).

Site Evaluation

Local infections may be present at sites being considered for immediate implant placement. According to research, when implants are placed in sites affected by chronic infection, whether of endodontic or periodontal origin, they demonstrate similar survival rates to those that are placed in uncomplicated sites when appropriate clinical and patient management procedures are used.13-15 Regarding immediate implant placement, sites affected by chronic infection are considered to be medium risk whereas sites affected by acute infections with suppuration are considered to be high risk. Many clinicians are of the opinion that it is prudent to treat acutely infected sites with suppuration using a conventional delayed implant placement approach.

Radiographic Evaluation

To optimize success, preliminary assessment with intraoral radiographs should be supplemented with 3D cone-beam computed tomography (CBCT) imaging. This evaluation should include an assessment of the root position, expected size of the socket, contour of the surrounding ridge, and bone wall thickness.16

Anterior Anatomic Factors Affecting Immediate Placement

In the anterior region, compromised implant placement can affect not only longevity and the incidence of failures but also the esthetic outcome. Anterior anatomic factors affecting immediate implant placement should be evaluated during treatment planning, including the following:

Availability of palatal and facial bone. Available bone palatal to a root is often critical to the stabilization of an immediately placed implant. The buccal bone and postextraction space between the implant and the facial bone (ie, the anticipated residual horizontal bone defect) are equally important. It is generally agreed that this area needs to be grafted and that the volume of facial bone required for soft-tissue stability is at least 2 mm.3 However, clinicians should aim for 3 mm or more. To meet this requirement, clinicians often select smaller diameter implants to intentionally create the desired residual horizontal defect size to be grafted.17

Adequacy of apical bone. Sufficient apical bone is needed to engage an implant for primary stability. Apical limitations include the floor of the nose and at times the maxillary sinus. Typically, apicocoronal implant placement is 3-mm apical to the desired free gingival margin. In immediate protocols, the placement of the implant shoulder should be 0.5-mm to 1-mm subcrestal, which is generally slightly deeper than in delayed protocols, in anticipation of postextraction crestal bone resorption.18

Mesiodistal spacing. It is generally accepted that a minimum of 1.5 mm of space should be maintained between implants and roots to minimize the risk of damage to those roots and to reduce the likelihood of negative crestal bone remodeling. In a scenario in which a root is large or roots are convergent due to crowding or a constricted arch form, immediate placement may be contraindicated due to limited options for lateral wall stabilization. In cases involving maxillary central incisor sites, the position and size of the nasopalatine duct may impede immediate implant placement or necessitate nerve mobilization or obliteration. Key considerations include restoratively driven digital implant positioning and implant diameter planning, which allow for an appropriate volume of bone graft material (Figure 10 through Figure 13).

Posterior Anatomic Factors Affecting Immediate Placement

Just like in the anterior region, there are posterior anatomic factors affecting immediate implant placement that should be evaluated during treatment planning, including the following:

Presence of small or divergent roots. The presence of smaller roots and those that diverge frequently results in greater available bone for implant anchorage when compared with the presence of large, convergent, or fused roots.

Adequacy of apical bone. The position of the sinus floor may limit apical bone for implant stabilization in cases involving maxillary molar implant sites. Similarly, the position of the inferior alveolar nerve can limit potential apical bone in the mandibular molar region.

Presence of lingual ridge undercuts. Any lingual ridge undercuts in the mandibular molar region should be identified using CBCT imaging because they present important anatomic limitations to apical engagement, generally demanding the use of shorter implants.

Availability of bone for restoratively driven placement. Implant placement should be restoratively driven, resulting in preparation and positioning mid-root/mid-septum. Smith and Tarnow describe a simple three category classification system for planning immediate molar placement based on the availability of bone for anchorage and provide implant size considerations.19 Of interest is the relatively new application of osseodensification, which is used to prepare the septum by condensing and expanding bone rather than removing it through traditional site preparation protocols. In an article by Bleyan and colleagues, they describe a 4-tier molar classification system based on septal width and make recommendations as to which classes can be suitable for immediate implant placement using an osseodensification protocol.20 Although some clinicians may advocate for immediate implant placement in regions of greater bone availability, such as the mesial or distal roots, rather than the septum or a restoratively defined position, this often results in cantilevered design elements, associated proximal oral hygiene challenges, path of insertion limitations, and possibly, an increased risk of adjacent tooth caries.

Presence of large, convergent, or fused roots. Sites with large, convergent, or fused roots may not be suitable for immediate implant placement because primary stability may not be achievable without considering ultra-wide implant diameters. A systematic review by Ketabi and colleagues reported higher failure rates for implants with diameters greater than 6 mm.21 In another systematic review and meta-analysis, Ragucci and colleagues recommend the use of implants less than 5 mm in diameter for immediate molar applications.4

Protocols Essential to Successful Immediate Placement

Depending on the needs of each case, when indicated, there are a variety of protocols used by clinicians to facilitate immediate implant placement and subsequent restoration.

Minimally Traumatic Extraction

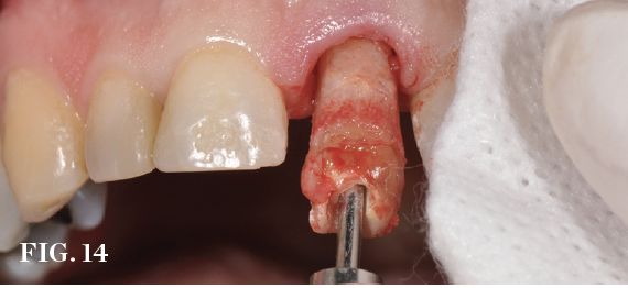
A range of extraction devices may be required, but it is essential to minimize the occurrence of surgically mediated bone loss to optimize the success of immediate implant placement (Figure 14).

Flapless Techniques

When possible, incisionless implant placement should be used to minimize the bone changes and midfacial tissue recession associated with periosteal flap elevation.22 However, contour modifications necessitating marginal incisions or apical mucosal access approaches to apply bone grafts are often required to compensate for extraction-induced contour changes. In a recent prospective study, Naldini and colleagues reported superior bone volume results when flapless contour augmentation with a xenogeneic bone graft/membrane was used in conjunction with immediate implant placement (Figure 15 through Figure 18).23

Bone Density-Based Preparation

An assessment of the density of the bone at the site (eg, Mish type D1 to D4) is important in determining if the desired stability can be achieved. However, assessing bone density during the osteotomy is difficult and subjective, especially for inexperienced clinicians. For immediately placed implants, recommendations for minimum insertion torque values have ranged from as low as 15 Ncm to greater than 45 Ncm, and recommendations for resonance frequency analysis implant stability quotient (ISQ) values have ranged from greater than 50 to greater than 60 in various studies.24 In addition to achieving surgical stability, success is dependent on a favorable occlusion to minimize loading risk, control of parafunctional activities, and patient cooperation with postsurgical care and diet.

Guided Bone Regeneration

Management of the defect between the implant and socket walls and contour enhancement beyond the facial/buccal socket wall are almost always required in immediate placement approaches. Bone grafting of the residual horizontal defect and, at times, buccal contour augmentation are used to compensate for expected buccal plate changes resulting from extraction, especially when the bone morphotype is thin (Figure 19 through Figure 22). Soft-tissue grafts can be used to further support stable facial tissues, but they will not completely prevent changes in bone volume that are associated with postextraction remodeling (Figure 23 and Figure 24).

Although it is commonplace to limit immediate placement concepts to pristine sockets with excellent bone walls, especially for clinicians who are new to immediate protocols, in a recent 5-year randomized controlled trial, Slagter and colleagues reported that bone level, buccal bone volume, esthetic outcomes, and patient satisfaction following immediate implant placement in cases where there were large postextraction buccal bone wall defects of greater than or equal to 5 mm were comparable to those in cases involving delayed placement following ridge preservation.25 There are many types of bone products, autologous growth factors (eg, platelet-rich fibrin), and membranes that are used in postextraction bone defects. The use of biologics is important to minimize the occurrence of adverse hard- and soft-tissue changes that can impact esthetics; however, a review of the literature reveals that there is not a superior product, combination of bone/membrane products, or method of application.26

The expanded use of bone grafts has also been recommended in the dual-zone concept presented by Chu and colleagues. In this concept, a bone graft material is applied into the space coronal to the implant-abutment interface to co-support the gingival margin.27 The use of low substitution graft materials such as deproteinized bovine bone mineral should be avoided in the dual-zone concept. This type of material does not resorb, which creates the potential for complications such as graft exfoliation or the development of nidi for infection in the sulcus due to the microbiome challenge.

Partial Extraction Therapy

Also commonly referred to as a socket shield procedure as described by Hürzeler and colleagues, partial extraction therapy involves maintaining a portion of a root on the facial aspect of an extraction site to prevent the remodeling of the facial bundle bone and improve tissue stability.28 Clearly, this concept can be of significance when the pre-extraction soft-tissue level and contour are ideal, but it is less so if there is a poor starting pink esthetic score, which requires flap elevation for bone grafting and/or soft-tissue augmentation. A recent randomized controlled trial by Atef and colleagues reported better bone and soft-tissue stability when a socket shield was used when compared with a xenograft applied into the buccal gap, but the use of a socket shield did not significantly improve the pink esthetic score or patient satisfaction.29 Although partial extraction therapy is a hot topic at the podium, the literature does not clearly support its use because the quality of the available evidence is not high. Even systematic reviews, which evaluate different databases, offer conflicting support. A systematic review and meta-analysis by Gao and colleagues includes four recent randomized controlled trials and supports the use of partial extraction therapy as an effective method to maintain buccal contours, stabilize peri-implant tissue, and improve the esthetic outcome when compared with conventional immediate placement.30 However, the vast differences in the protocols used in these randomized controlled trials and follow-up times that range from 6 to 36 months result in a lack of clarity regarding the steps that are essential for success. A review by Ogawa and colleagues concluded that it is difficult to predict the long-term success of partial extraction therapy based on the database that they evaluated.31

Gingival Grafting Procedures

Thin gingival phenotypes can contribute to the potential for adverse tissue changes with any implant protocol, but they are more significant in immediate placement cases. In anticipation of some tissue loss following extraction, it is commonplace to incorporate grafting procedures to enhance the soft-tissue volume, especially in cases involving thin phenotypes.32,33 Modification of thin tissue phenotypes is also key to masking or hiding the transmucosal components. Generally, connective tissue grafts are considered the gold standard material for soft-tissue enhancement. Reports using xenogeneic collagen matrix grafts, acellular dermal allografts, or platelet-rich fibrin emphasize patient interest in avoiding palatal graft procurement; however, their validation in the literature is limited.34 Connective tissue grafts typically enhance the midfacial tissue level.35

Immediate Tissue Guidance

In the immediate placement approach, implants should be planned and introduced using methods that create the possibility of placing a provisional restoration at the time of surgery to support the existing tissue contours. Although the restoration protocol is planned before treatment, the final decision of whether or not to follow through with it is based on the implant insertion torque/primary stability achieved as judged by the surgical clinician. Various techniques have been described that range from full-contour provisional crowns to partial guidance customized healing abutments with or without an overlying restoration. Delivering one of these transitional solutions can provide a barrier to retain any bone graft while potentially supporting the soft-tissue anatomy. In one 12-month randomized controlled trial, 3D ridge changes as expressed by soft-tissue resorption occurred following immediate placement; however, volume preservation was better when immediate provisionalization was carried out.36 Prosthetic guidance with custom healing abutments is recognized as an option to support the marginal tissue.37 Appropriate design is essential to have a positive impact on tissue anatomy support and outcomes (Figure 25 through Figure 27).

The emergence contour of a transmucosal provisional restoration must be carefully designed chairside by the clinician (Figure 28) or prefabricated by a technician (Figure 29) to support and define the marginal gingival contour, which is referred to as the critical contour, while minimizing the space occupied by the material closer to the implant-abutment interface, which is referred to as the subcritical contour. These zones of prosthetic contour will affect the facial gingival level and zenith as well as the color of the soft tissue by masking the prosthetic components.38 Undercontoured subcritical contours effectively increase the space for native soft-tissue infill, which further protects the bone at the implant collar and potentially reduces post-restoration tissue changes.39 Although provisional restorations can be fabricated chairside after surgery, prefabricating provisional crowns or custom healing abutments/bonded restorations based on the digital plan offers day-of-surgery provisionalization with esthetic and durable materials that requires less chair time because intraoperative steps are not needed to fabricate the restorative components.

Concluding Remarks

Clinicians have many options to consider regarding protocols for implant placement and restoration; however, when indicated, immediate implant placement concepts offer the patient-centric benefits of decreased treatment time and, in some cases, decreased costs and potentially less morbidity. For the clinician, the benefits of immediate implant placement include not only increased treatment acceptance and decreased chair time, which translate into improved profitability, especially if guided treatment is applied, but also the potential for improved tissue esthetics when coupled with provisionalization.

Queries regarding this course may be submitted to authorqueries@aegiscomm.com

Acknowledgment

The author would like to gratefully recognize the clinical work, support, and input of her prosthodontist partner Brahm Miller, DDS, MSc, as well as the efforts of her supporting technicians.

About the Author

Sonia Leziy, DDS
Fellow
International Congress of Oral Implantologists

Associate Clinical Professor
University of British Columbia
Vancouver, British Columbia, Canada

Private Practice
Nanaimo, British Columbia, Canada

References

1. Lazzara RJ. Immediate implant placement into extraction sites: surgical and restorative advantages. Int J Periodontics Restorative Dent. 1989;9(5):332-343.

2. Morton D, Chen ST, Martin WC, et al. Consensus statements and recommended clinical procedures regarding optimizing esthetic outcomes in implant dentistry. Int J Oral Maxillofac Implants. 2014;29(Suppl 2014):216-220.

3. Gallucci GO, Hamilton A, Zhou W, et al. Implant placement and loading protocols in partially edentulous patients: a systematic review. Clin Oral Impl Res. 2018;29 (Suppl 16):106-134.

4. Ragucci GM, Elnayef B, Criado-Cámara E, et al. Immediate implant placement in molar extraction sockets: a systematic review and meta-analysis. Int J Implant Dent. 2020;6(1):40.

5. Buser D, Chen S. Factors influencing the treatment outcomes of implants in post-extraction sites. In: Buser D, Wismeijer D, Belser UC, eds. ITI Treatment Guide; Vol 3: Implant placement in post-extraction sites: Treatment options. Quintessence; 2008.

6. Sendyk DI, Chrcanovic BR, Albrektsson T, et al. Does surgical experience influence implant survival rate? A systematic review and meta-analysis. Int J Prosthodont. 2017;30(4):341-347.

7. Dawson A, Chen S, eds. The SAC Classification in Implant Dentistry. Quintessence; 2009.

8. Chappius V, Martin W. ITI Treatment Guide, Vol 10: Implant therapy in the esthetic zone: Current treatment modalities and materials for single-tooth replacements. Quintessence; 2017.

9. Kan JY, Roe P, Rungcharassaeng K. Effects of implant morphology on rotational stability during immediate implant placement in the esthetic zone. Int J Oral Maxillofac Implants. 2015;30(3):667-670.

10. Jokstad A, Ganeles J. Systematic review of clinical and patient-reported outcomes following oral rehabilitation on dental implants with a tapered compared to a non-tapered implant design. Clin Oral Implants Res. 2018;29(Suppl 16):41-54.

11. Leziy  SS, Miller BA. Integrating a full digital workflow to achieve optimal surgical and restorative outcomes in implant dentistry. Compend Contin Educ Dent. 2019;40(7):414-421.

12. Evans CD, Chen ST. Esthetic outcomes of immediate implant placements. Clin Oral Implants Res. 2008;19(1):73-80.

13. Crespi R, Capparè P, Gherlone E. Immediate loading of dental implants placed in periodontally infected and non-infected sites: a 4-year follow-up clinical study. J Periodontol. 2010;81(8):1140-1146.

14. Truninger TC, Philipp AOH, Siegenthaler DW, et al. A prospective, controlled clinical trial evaluating the clinical and radiological outcome after 3 years of immediately placed implants in sockets exhibiting periapical pathology. Clin Oral Implants Res. 2011;22(1):20-27.

15. Chrcanovic BR, Martins MD, Wennerberg A. Immediate placement of implants into infected sites: a systematic review. Clin Implant Dent Relat Res. 2015;17(Suppl 1):e1-e16.

16. Tyndall DA, Price JB, Tetradis S, et al. Position statement of the American Academy of Oral and Maxillofacial Radiology on selection criteria for the use of radiology in dental implantology with emphasis on cone beam computed tomography. Oral Surg Oral Med Oral Pathol Oral Radiol. 2012;113(6):817-826.

17. Parize HN, Bohner LOL, Gama LT, et al. Narrow-diameter implants in the anterior region: A meta-analysis. Int J Oral Maxillofac Implants. 2019;34(6):1347-1358.

18. Chen ST, Darby I. The relationship between facial bone wall defects and dimensional alterations of the ridge following flapless tooth extraction in the anterior maxilla. Clin Oral Implants Res. 2017;28(8):931-937.

19. Smith RB, Tarnow DP. Classification of molar extraction sites for immediate dental implant placement: technical note. Int J Oral Maxillofac Implants. 2013;28(3):911-916.

20. Bleyan S, Gaspar J, Huwais S, et al. Molar septum expansion with osseodensification for immediate implant placement, retrospective multicenter study with up-to-5-year follow-up, introducing a new molar socket classification. J Funct Biomater. 2021;12(4):66.

21. Ketabi M, Deporter D, Atenafu EG. A systematic review of outcomes following immediate molar implant placement based on recently published studies. Clin Implant Dent Relat Res. 2016;18(6):1084-1094.

22. Raes F, Cosyn J, Crommelinck E, et al. Immediate and conventional single implant treatment in the anterior maxilla: 1-year results of a case series on hard and soft tissue response and aesthetics. J Clin Periodontol. 2011:38(4):385-394.

23. Naldini P, Torassa D, Calvo-Guirado JL, Bodereau EF. Evaluation of contour augmentation in immediate single-tooth implants with and without flaps in the anterior maxilla: a 1-year prospective study. Int J Periodontics Restorative Dent. 2022;42(3):331-339.

24. Schrott A, Riggi-Heiniger M, Maruo K, Gallucci GO. Implant loading protocols for partially edentulous patients with extended edentulous sites- a systematic review and meta-analysis. Int J Oral Maxillofac Implants. 2014;29(Suppl 2014):239-255.

25. Slagter KW, Meijer HJA, Hentenaar DFM, et al. Immediate single-tooth implant placement with simultaneous bone augmentation versus delayed implant placement after alveolar ridge preservation in bony defect sites in the esthetic region: a 5-year randomized controlled trial. J Periodontol. 2021;92(12):1738-1748.

26. Zaki J, Yusuf N, El-Khadem A, et al. Efficacy of bone-substitute materials use in immediate dental implant placement: a systematic review and meta-analysis. Clin Implant Dent Relat Res. 2021;23(4):506-519.

27. Chu SJ, Salama MA, Salama H, et al The dual-zone therapeutic concept of managing immediate implant placement and provisional restoration in anterior extraction sockets. Compend Contin Educ Dent. 2012;33(7):524-532,534.

28. Hürzeler MB, Zuhr O, Schupbach P, et al. The socket-shield technique: a proof-of-principle report. J Clin Periodontol. 2010;37(9):855-862.

29. Atef M, El Barbary A, Dahrous MSE, Zahran AF. Comparison of the soft and hard peri-implant tissue dimensional changes around single immediate implants in the esthetic zone with socket shield technique versus using xenograft: a randomized controlled clinical trial. Clin Implant Dent Relat Res. 2021;23(3):456-465.

30. Gao B, Lai X, Dong Y, Li X. Clinical efficacy of the socket shield technique used in the aesthetic zone: a systematic review and meta-analysis. Int J Oral Implantol (Berl). 2022;15(1):45-55.

31. Ogawa T, Sitalaksmi RM, Miyashita M, et al. Effectiveness of the socket shield technique in dental implant: a systematic review. J Prosthodont Res. 2022;66(1):12-18.

32. Seyssens L, De Lat L, Cosyn J. Immediate implant placement with or without connective tissue graft: a systematic review and meta-analysis. J Clin Periodontol. 2021;48(2):284-301.

33. Zuiderveld EG, Meijer HJA, den Hartog L, et al. Effect of connective tissue grafting on peri-implant tissue in single immediate implant sites: a RCT. J Clin Periodontol. 2018;45(2):253-264.

34. Lee CT, Tao CY, Stoupel J. The effect of subepithelial connective tissue graft placement on esthetic outcomes after immediate implant placement: systematic review. J Periodontol. 2016;87(2):156-167.

35. van Nimwegen WG, Raghoebar GM, Zuiderveld EG, et al. Immediate placement and provisionalization of implants in the aesthetic zone with or without a connective tissue graft: a 1-year randomized controlled trial and volumetric study. Clin Oral Implants Res. 2018;29(7):671-678.

36.Wang IC, Chan HL, Kinney J, Wang HL. Volumetric facial contour changes of immediately placed implants with and without immediate provisionalization. J Periodontol. 2020;91(7):906-916.

37. Lilet R, Desiron M, Finelle G, et al. Immediate implant placement combining socket seal abutment and peri-implant socket filling: a prospective case series. Clin Oral Implants Res. 2022;33(1):33-44.

38. González-Martín O, Lee E, Weisgold A, et al. Contour management of implant restorations for optimal emergence profiles: guidelines for immediate and delayed provisional restorations. Int J Periodontics Restorative Dent. 2020;40(1):61-70.

39. Schoenbaum TR, Kim YK, Khalifa F. Emergence contours for single-unit implant provisionals in the esthetic zone. Compend Contin Educ Dent. 2021;42(7):374-380.

(1.) This series of clinical images illustrates the use of an implant with well-defi ned
threads that improve lateral bone engagement. In a multirooted extraction socket where there are large voids, this can help to achieve initial implant stability.

Figure 1

(2.) This series of clinical images illustrates the use of an implant with well-defi ned
threads that improve lateral bone engagement. In a multirooted extraction socket where there are large voids, this can help to achieve initial implant stability.

Figure 2

(3.) This series of clinical images illustrates the use of an implant with well-defi ned
threads that improve lateral bone engagement. In a multirooted extraction socket where there are large voids, this can help to achieve initial implant stability.

Figure 3

(4.) This series of clinical images illustrates the use of an implant with well-defi ned
threads that improve lateral bone engagement. In a multirooted extraction socket where there are large voids, this can help to achieve initial implant stability.

Figure 4

(5.) Radiographic assessment of the mandibular right first molar ridge form, including 3D evaluation of the septal/buccal, lingual, and apical bone for implant stabilization. The goal is to restoratively center the implant.

Figire 5

(6.) Careful extraction should be emphasized to maintain as much bone as possible, especially for immediate implants replacing multirooted teeth.

Figure 6

(7.) Restoratively centered guided osteotomy and implant insertion.

Figure 7

(8.) Restoratively centered guided osteotomy and implant insertion.

Figure 8

(9.) Chairside custom healing abutment fabrication in progress using a temporary abutment.

Figure 9

(10.) Restoratively driven anterior implant planning views. Considerations include spac-ing relative to adjacent roots (minimally 1.5 mm), facial-palatal orientation to engage apical and palatal bone and avoid the nasopalatine duct, and selection of an implant diameter that will allow for facial bone grafting or partial extraction therapy.

Figure 10

(11.) Restoratively driven anterior implant planning views. Considerations include spac-ing relative to adjacent roots (minimally 1.5 mm), facial-palatal orientation to engage apical and palatal bone and avoid the nasopalatine duct, and selection of an implant diameter that will allow for facial bone grafting or partial extraction therapy.

Figure 11

(12.) Restoratively driven anterior implant planning views. Considerations include spac-ing relative to adjacent roots (minimally 1.5 mm), facial-palatal orientation to engage apical and palatal bone and avoid the nasopalatine duct, and selection of an implant diameter that will allow for facial bone grafting or partial extraction therapy.

Figure 12

(13.) Restoratively driven anterior implant planning views. Considerations include spac-ing relative to adjacent roots (minimally 1.5 mm), facial-palatal orientation to engage apical and palatal bone and avoid the nasopalatine duct, and selection of an implant diameter that will allow for facial bone grafting or partial extraction therapy.

Figure 13

(14.) Conservative extraction methods such as the use of a vertical extraction device
are important to minimize the occurrence of surgically mediated bone loss and optimize the success of immediate implant placement.

Figure 14

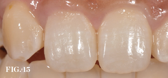
(15.) Preoperative view of a central incisor undergoing resorption (tooth No. 8). Incisionless or minimally invasive procedures can potentially enhance thesoft-tissue anatomy.

Figure 15

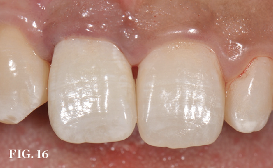
(16.) Postoperative view after immediate implant placement and provisional restoration on the day of surgery.

Figure 16

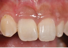
(17.) Postoperative view 1 month after provisional restoration.

Figure 17

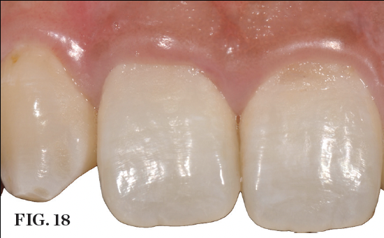
(18.) Postoperative view 3 months after provisional restoration. Note the ideal tissue anatomy that was created through correct implant positioning and immediate transmucosal guidance.

Figure 18

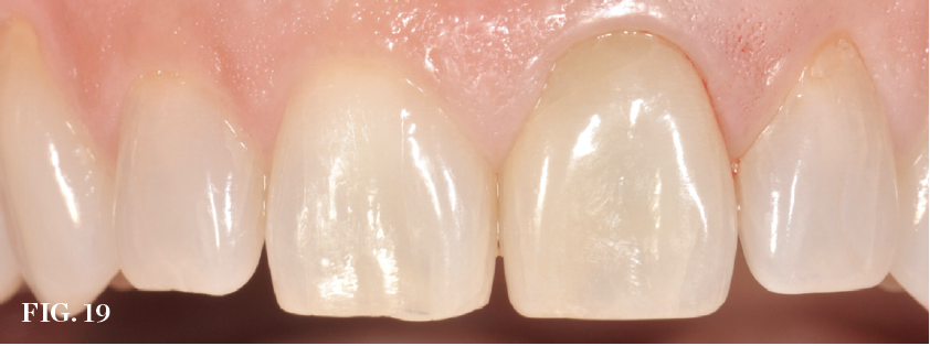
(19.) Preoperative view of a failing central incisor (tooth No. 9). Note the early recession occurring in the region.

Figure 19

(20.) Immediate implant placement. The residual bone defect, which measures approxi-mately 3 mm, was intentionally developed by planning the use of a suitable implant diameter.

Figure 20

(21.) Guided bone regeneration using a collagen membrane and adapted bone graft.

Figure 21

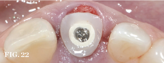
(22.) Prefabricated custom healing abutment. Note the facial cutback to allow for the addition of a connective tissue graft to level the gingival margin with the contralateral dentition.

Figure 22

(23.) Connective tissue graft harvest-ing from the donor site.

Figure 23

(24.) View of the custom healing abutment 3 months postoperatively after removal of the transitional bonded restoration. Note the ideal facial tissue volume created with the  appropriate custom healing abutment design and the connective tissue graft.

Figure 24

(25.) Inadequate interproximal design of two custom healing abutments that do not support the proximal tissue contours established by the extracted teeth.

Figure 25

(26.) The custom healing abutments were modified with composite to properly support the tissue contours.

Figure 26

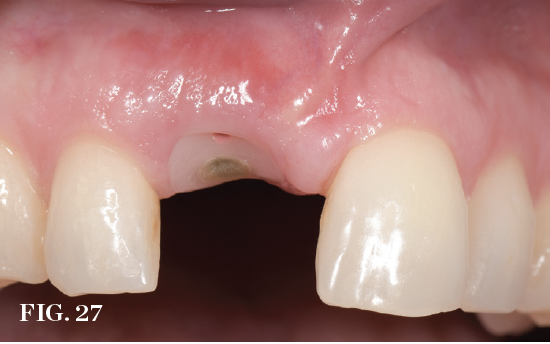
(27.) View of an immediate implant site 2-weeks postoperatively. Note the ideal design of the custom healing abutment supporting and guiding the marginal gingiva.

Figure 27

(28.) Provisional crown fabricated
chairside using the facial aspect of an extracted tooth fused to a transitional abutment with composite. Attention to contouring is centered on the immediate
subgingival contour to support the marginal gingiva with undercontouring of the temporary abutment to the head of the implant.

Figure 28

(29.) Provisional crown prefabricated using a digital workflow. A nonengaging base allows freedom of rotation to accommodate minor vertical timing problems. Full contour is established in the first 1 mm subgingival to fully support the marginal gingiva, and the remaining subgingival form is undercontoured.

Figure 29

CREDITS: 0
AGD CODE: 690 - Implants
COST: $0
PROVIDER: Conexiant Education
SOURCE: Inside Dentistry | April 2023

Learning Objectives:

  • Identify the important treatment planning considerations for immediate implant placement.
  • Describe the anterior anatomic factors that affect immediate implant placement.
  • Describe the posterior anatomic factors that affect immediate implant placement.
  • Discuss the protocols that are essential to successful immediate implant placement.

Disclosures:

The author reports no conflicts of interest associated with this work.

Queries for the author may be directed to justin.romano@broadcastmed.com.