Managing Discolored Teeth After Dental Trauma

Melissa Seibert, DMD

August 2023 Course - Expires Saturday, February 28th, 2026

Inside Dental Assisting

Abstract

Dental trauma oftentimes results in esthetic complications that can be difficult for restorative dentists to manage, such as intrinsic discoloration. Several treatment modalities for managing intrinsic discoloration secondary to dental trauma exist today. This article examines the ways that teeth become discolored as a result of trauma and explores suitable approaches to management, including the placement of indirect restorations, such as full-coverage crowns and ceramic veneers; the use of internal bleaching techniques, such as the walking bleach technique and the inside-outside bleach technique; and the placement of direct composite veneers, either with or without an opaquer. For teeth that demonstrate darker discoloration, internal bleaching can be combined with indirect or direct restoration to reduce the amount of preparation required and achieve patients’ other esthetic goals. Restorative considerations for each of these approaches as well as their advantages and disadvantages are presented.

You must be signed in to read the rest of this article.

Login Sign Up

Registration on CDEWorld is free. You may also login to CDEWorld with your DentalAegis.com account.

Dental trauma can be both a source of great upheaval for patients and a quandary for clinicians. The immediate management of dental trauma requires skill to save the affected teeth or as much of their structure as possible; however, managing the long-term esthetic sequelae of dental trauma can also present the restorative dentist with challenges. One such challenge is the management of intrinsic discoloration secondary to trauma.

Teeth may become discolored as a result of dental trauma for a number of reasons, including pulp necrosis, the retention of pulp tissue remnants at the time of root canal therapy, intrapulpal hemorrhage, calcific metamorphosis, and internal resorption. When a traumatized tooth presents with gray staining, it is caused by the black ferric sulfide of retained heme in the canal. On the other hand, discoloration from calcific metamorphosis, which is a result of the rapid deposition of hard tissue, leaves a tooth with a brown-yellow discoloration.1 Causes of discoloration associated with nonsurgical root canal therapy include silver points, mineral trioxide aggregate, gutta percha in the chamber, and the use of silver or zinc oxide eugenol containing sealers, which discolor over time.

Treating Intrinsic Discoloration

Several management strategies exist to address intrinsic discoloration secondary to trauma, including indirect restorative approaches, bleaching techniques, and the placement of direct composite veneers with or without opaquers. Clinicians should weigh the risks and benefits associated with each modality on a case-by-case basis.

Indirect Restoration

One strategy is to prepare the discolored tooth for a full-coverage crown. It should be noted, however, that a discolored tooth will oftentimes become darker as it is further prepared. Moreover, in order to allow for adequate material to block out the discoloration, the tooth may have to be extensively prepared. A well-researched and reliable approach is to utilize a porcelain-fused-to-metal (PFM) crown. The advantage to this approach is that the metal is more effective in blocking the discoloration than ceramic alone. The disadvantage is that it requires extensive preparation and a skilled lab technician who is capable of stacking porcelain. Other indirect restorative material options include zirconia, porcelain fused to zirconia, lithium disilicate, and leucite-reinforced ceramic or porcelain. Clinicians should consider the darkness of the staining, location in the mouth, and other patient-related factors to determine the most suitable material for each case. All things considered, using a full-coverage restoration as the sole means of managing a discolored tooth may require the extensive removal of tooth structure; however, this may not necessarily be problematic if the tooth has already been considerably restored.

Alternatively, ceramic veneers can provide an excellent treatment option for teeth that are not substantially discolored, particularly for patients who are looking to improve other aspects of their smile esthetics beyond treating the discoloration. However, extensive intrinsic staining may require more tooth material to be resected. Potential downsides to ceramic veneers include that they involve a laboratory fee, require a provisionalization stage, may be unrepairable when they chip, and will gradually lose their surface stain and glaze. The use of an over-the-counter dentifrice alone has been demonstrated to remove the gloss and color of ceramic restorative materials over time.2

Internal Bleaching

When discoloration results from trauma or nonsurgical root canal therapy, oftentimes, internal bleaching is adequate to treat the discoloration. Minimally, it can make significant progress in reducing the discoloration, in which case a more conservative restorative treatment option may be provided afterward.

The technique of internal bleaching was first introduced during the nineteenth century, and it involved the use of compounds such as chloride of lime, calcium hydrochlorite and acetic acid, and cyanide of potassium.3 The use of these materials has since been discontinued in favor of ones that are associated with fewer complications, such as hydrogen peroxide. A known complication associated with internal bleaching is cervical resorption. This unpredictable phenomenon primarily occurs in the proximal cementoenamel junction region and poses a particular risk because it is not self-limiting. It has been documented that cervical resorption can occur when internal bleaching is performed with hydrogen peroxide in concentrations of 30% or greater.4 As a result, thermo-catalytic internal bleaching methods using hydrogen peroxide in concentrations greater than 30% have largely been discontinued. Long-term studies involving 16-year and 19-year follow-up trials have demonstrated that the risk of resorption associated with internal bleaching can be as low as 1.9% when safer materials are used and a cervical biomechanical seal is placed.5,6

Internal bleaching using sodium perborate mixed with water, which is known as the "walking bleach" technique, offers a safer treatment modality with a substantially decreased risk of internal resorption (Figure 1). One downside to this approach is that it requires several follow-up appointments to replace the internal bleach before the treatment is completed (Figure 2). In addition, the temporary materials placed over the access oftentimes fall out. With the walking bleach technique, a balance must be struck in which the temporary barrier is thick enough to prevent easy dislodgment but not so thick that it prevents an adequate amount of bleaching material from being placed. Using a more permanent material over the access is one way to circumvent this issue; however, the access will likely get larger each time it is removed, which is also less than ideal.

A recent controlled clinical trial published in the Journal of Prosthetic Dentistry that evaluated the "inside-outside" technique for internally bleaching teeth that had undergone nonsurgical root canal therapy demonstrated that it was as safe and effective as the walking bleach technique.7 The inside-outside bleaching technique involves placing a cervical seal over the canals of an endodontically treated tooth but leaving the pulp chamber open. The patient applies a 10% carbamide peroxide gel into the pulp chamber as well as into a retainer, which is worn over the tooth for 1 hour per day over the course of 4 weeks. The advantages of this technique are that follow-up appointments can be avoided and neither the patient nor dentist have to be concerned about temporary material dislodging. The downsides of this technique are that it requires excellent patient compliance, debris may become lodged in the access, and the tooth is more vulnerable to fracture because it is missing its core.

Regardless of the internal bleaching technique used, the final restoration of the access cavity should be postponed to eliminate residual oxygen present in the chamber, which may inhibit the adhesion of composite resin.8 Taking shade tab photographs at the beginning and end of bleaching treatment, as well as at the beginning of each session for the walking bleach technique, is an important tool in documenting patients' progress (Figure 3).

Direct Composite Veneers

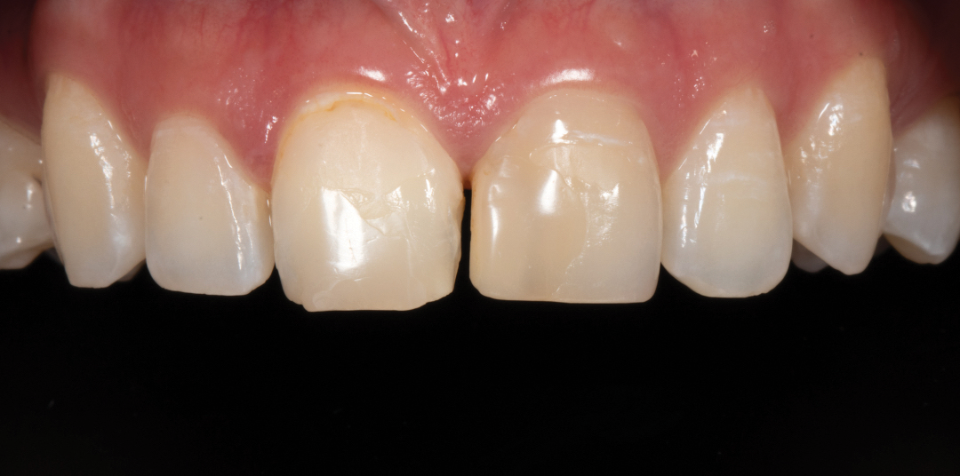
Sometimes, internal bleaching may be insufficient to raise the value of the tooth to the extent that the patient desires, or the patient's desired esthetic outcome may not be completely achieved with internal bleaching. One viable, conservative treatment modality to help manage a discolored tooth is to utilize a composite veneer (Figure 4 and Figure 5). When compared with indirect veneers, direct composite veneers are oftentimes more affordable as well as more readily repairable and typically less invasive.9 Composite veneers may also be beneficial to both the clinician and patient because they do not have to be provisionalized, do not involve a laboratory fee, and do not require impressions. In some cases, local anesthesia may even be avoided. This treatment modality also allows the patient to provide the dentist with immediate feedback about the color, optical properties, and design of the veneer with no need to then send it back to the laboratory to be recreated. The downsides of composite veneers include that they are more technique sensitive to place and that composite is more susceptible to discoloration and loss of surface gloss.10 If this treatment modality is to be used, the clinician must consider the patient's opposing dentition, caries risk, and occlusion, among other factors.

The degree of invasiveness of a composite veneer is dependent on the clinical scenario. In the case of an intrinsically discolored tooth, the tooth may have to be prepared to create room for the restorative materials. By virtue of composite resin's inherent optical properties, it has a limited ability to conceal discoloration. The application of a thin layer of an opaquer (eg, Creative Color® Opaquer and Creative Color® Pink Opaque, Cosmedent; Constic [Opaque-White], DMG; IPS Empress® Direct Opaque, Ivoclar; Estelite Color® [Pink Opaque], Tokuyama) prior to the placement of the composite can provide an alternative to placing a thicker layer of composite and reduce the amount of tooth structure that needs to be prepared. Opaquers are low-viscosity, highly pigmented resins that contain metal oxides. They are ideally suited for cases in which dark tooth structure needs to be blocked out prior to the placement of composite. They come in many colors, including but not limited to pink, white, and tooth colored. By virtue of their opacity, opaquers will raise the value of restorations. On the other hand, if a material that is too translucent is applied, it may appear grey. Opaquers can be applied after the bonding agent is applied and cured. They are often applied in multiple layers, typically with a brush, and cured after each layer is placed. They can also be applied between layers of composite. Clinicians should consult the manufacturer's recommendations to determine the layering technique of their chosen opaquer. However, as aforementioned, excessive application of opaquer may result in a tooth that is of considerably higher value or far more opaque than its adjacent teeth. Once the desired amount of opaquer has been placed, composite is then placed as the final restorative layer (Figure 6 through Figure 8).

An in vitro laboratory study found that the most esthetic outcomes can be achieved with opaquer when a 1.0-mm layer of composite is placed over it.11 According to the data, the masking ability of an opaquer is negatively affected when only a 0.5-mm layer of composite is placed over it. The findings from this study align with those of previous ones, which also reported an improvement in the masking ability of opaquers when thicker layers of composite were added.12,13 However, Lehr and colleagues11 did report instances when acceptable results were achieved when a 0.5-mm layer of resin was placed over certain opaquers. The researchers also noted that an acceptable outcome could not be achieved with opaquer and composite when the background was as dark as shade C4.

Presently, there is a plethora of composites on the market, which can make it difficult to choose which type is best suited for an esthetic restoration. Composites can be classified by the monomer type and particle type. A survey completed at the 1983 annual meeting of the American Academy of Esthetic Dentistry reported that microfills were the most popular restorative material for single-appointment direct veneers.14 Today, microfilled composites are still one of the composites of choice for direct composite veneers. They offer an easy polishing process that results in a high gloss. However, the decreased filler content of microfills can lead to an increased risk of fracture. This characteristic should be considered if a composite is being used in a stress-bearing area, such as the incisal edge of a labial veneer.

Among other reasons, hybrid composites were developed by manufacturers to address the low flexural strength of microfilled composites. Early hybrids demonstrated reduced polishability because of the large size of their particles. Many modern hybrids on the market have reduced their particle sizes, which allows for improved polishability while maintaining strength.

When compared with hybrids, nanofilled composites demonstrate a higher final gloss.15 Nanofills may be ideal in the esthetic region because the ease with which they can be sculpted allows crucial anatomy to be added to composite veneers. Interestingly, a recent systematic review reported no evidence of a difference in the surface texture and color match between nanofilled/nanohybrid and hybrid composites.16

With CAD/CAM dentistry, dentists may also consider the use of milled ceramic-infiltrated polymers and polymer-infiltrated ceramics. Although the use of these materials for occlusal veneers has been studied, their use for labial veneers requires more research.17,18 Regardless, some in vitro data suggest that these materials may undergo an esthetically unacceptable color transformation.19

Conclusion

In today's era of dentistry, dentists have a range of restorative options at their disposal to treat intrinsically discolored teeth. Advances in our understanding as well as the development of new materials has enabled the creation of many treatment modalities; however, there is no solution that can be applied in every scenario. Clinicians must be flexible in their approach and recognize the strengths and limitations of each possible solution.

Queries regarding this course may be submitted to authorqueries@broadcastmed.com

About the Author

Melissa Seibert, DMD
Creator and Host
Dental Digest Podcast
US Air Force Dentist
Lackland Air Force Base
San Antonio, Texas

References

1. Amir FA, Gutmann JL, Witherspoon DE. Calcific metamorphosis: a challenge in endodontic diagnosis and treatment. Quintessence Int. 2001;32(6):447-455.

2. Sulaiman TA, Camino RN, Cook R, et al. Time-lasting ceramic stains and glaze: a toothbrush simulation study. J Esthet Restor Dent. 2020;32(6):581-585.

3. Alqahtani MQ. Tooth-bleaching procedures and their controversial effects: a literature review. Saudi Dent J. 2014;26(2):33-46.

4. Friedman S. Internal bleaching: long-term outcomes and complications. J Am Dent Assoc. 1997;128(Suppl):51S-55S.

5. Amato M, Scaravilli MS, Farella M, Riccitiello F. Bleaching teeth treated endodontically: long-term evaluation of a case series. J Endod. 2006;32(4):376-378.

6. Heithersay GS, Dahlstrom SW, Marin PD. Incidence of invasive cervical resorption in bleached root-filled teeth. Aust Dent J. 1994;39(2):82-87.

7. Pedrollo Lise D, Siedschlag G, Bernardon JK, Baratieri LN. Randomized clinical trial of 2 nonvital tooth bleaching techniques: a 1-year follow-up. J Prosthet Dent. 2018;119(1):53-59.

8. Barkhordar RA, Kempler D, Plesh O. Effect of nonvital tooth bleaching on microleakage of resin composite restorations. Quintessence Int. 1997;28(5):341-344.

9. Araujo E, Perdigão J. Anterior veneer restorations - an evidence-based minimal-intervention perspective. J Adhes Dent.2021;23(2):91-110.

10. Heintze SD, Forjanic M, Ohmiti K, Rousson V. Surface deterioration of dental materials after simulated toothbrushing in relation to brushing time and load. Dent Mater. 2010;26(4):306-319.

11. Lehr RM, Perez BG, Gaidarji B, et al. Masking ability of the combined application of opaquers and resin composite on discolored backgrounds. Oper Dent. 2022;47(2):225-235.

12. An JS, Son HH, Qadeer S, et al. The influence of a continuous increase in thickness of opaque-shade composite resin on masking ability and translucency. Acta Odontol Scand.2013;71(1):120-129.

13. Miotti LL, Santos IS, Nicoloso GF, et al. The use of resin composite layering technique to mask discolored background: a CIELAB/CIEDE2000 analysis. Oper Dent. 2017;42(2):165-174.

14. Christensen GJ. Veneering of teeth. State of the art. Dent Clin North Am. 1985;29(2):373-391.

15. Antonson SA, Yazici AR, Kilinc E, et al. Comparison of different finishing/polishing systems on surface roughness and gloss of resin composites. J Dent. 2011;39(Suppl 1):e9-e17.

16. Maran BM, de Geus JL, Gutiérrez MF, et al. Nanofilled/nanohybrid and hybrid resin-based composite in patients with direct restorations in posterior teeth: a systematic review and meta-analysis. J Dent. 2020;99:103407.

17. Andrade JP, Stona D, Bittencourt HR, et al. Effect of different computer-aided design/computer-aided manufacturing (CAD/CAM) materials and thicknesses on the fracture resistance of occlusal veneers. Oper Dent. 2018;43(5):539-548.

18. Ioannidis A, Mühlemann S, Özcan M, et al. Ultra-thin occlusal veneers bonded to enamel and made of ceramic or hybrid materials exhibit load-bearing capacities not different from conventional restorations. J Mech Behav Biomed Mater. 2019;90:433-440.

19. Arif R, Yilmaz B, Johnston WM. In vitro color stainability and relative translucency of CAD-CAM restorative materials used for laminate veneers and complete crowns. J Prosthet Dent. 2019;122(2):160-166.

(1.) Extraoral view of sodium perborate prior to being crushed for the walking bleach technique.

Figure 1

(2.) The pulp chambers of a patient’s maxillary central incisors being accessed for the placement of sodium perborate for the walking bleach technique.

Figure 2

(3.) A shade tab photograph acquired between sessions of the walking bleach technique to document the patient’s progress.

Figure 3

(4.) Pretreatment and posttreatment close-up photographs of maxillary central incisors treated with internal bleaching and direct composite veneers.

Figure 4

(5.) Pretreatment and posttreatment close-up photographs of maxillary central incisors treated with internal bleaching and direct composite veneers.

Figure 5

(6.) Pretreatment photograph of an intrinsically stained tooth.

Figure 6

(7.) A pink opaquer was placed prior to the placement of composite.

Figure 7

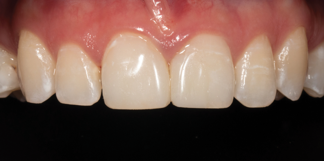
(8.) Posttreatment photograph of the completed direct composite veneer. (The photographs for the case depicted in Figure 6 through Figure 8 were provided by William “Bud” Mopper, DDS, MS.)

Figure 8

Take the Accredited CE Quiz:

CREDITS: 2 SI
AGD CODE: 780 - Esthetics/Cosmetic Dentistry
COST: $16.00
PROVIDER: Conexiant Education
SOURCE: Inside Dentistry | August 2023

Learning Objectives:

  • Identify some of the reasons that dental trauma can result in intrinsic discoloration.
  • Describe the advantages and disadvantages of using full-coverage crowns and ceramic veneers to treat intrinsic discoloration.
  • Discuss the development of internal bleaching techniques, including the walking bleach technique and the inside-outside bleaching technique, and their advantages and disadvantages.
  • Summarize how composites and opaquers are used to mask intrinsic discoloration and identify the advantages and disadvantages of some of the different types.

Disclosures:

The author reports no conflicts of interest associated with this work.

Queries for the author may be directed to justin.romano@broadcastmed.com.