Restoring Anomalous Lateral Incisors

Sharon Krief, DDS; Richard Trushkowsky, DDS; and Guy Carnazza, DMD

November 2023 Issue - Expires Sunday, May 31st, 2026

Inside Dental Assisting

Abstract

Patients with anomalous, or “peg-shaped,” maxillary lateral incisors often experience compromised esthetics resulting from their unpleasant shape and related diastemas. Use of the index cutback technique to provide proper tooth form and anatomy prior to closure of the diastemas with orthodontic treatment offers advantages over other approaches, including that it is more minimally invasive than placing ceramic restorations, easier than freehand composite layering techniques, offers a predictable method of achieving the shade and level of translucency desired, requires less appointments, is lower cost, and more. There are many methods that can be used to calculate the appropriate tooth-size proportion of restored anomalous lateral incisors with respect to the size of the other teeth in the maxillary anterior, including use of the Bolton index, the recurring esthetic dental (RED) proportion, and the golden proportion. This article discusses some of the methods used to calculate tooth-size proportion, compares the advantages of restoring anomalous maxillary lateral incisors with the index cutback technique with those of other methods, examines ways to achieve the desired shade and level of translucency with composite materials, and presents a case report to demonstrate the index cutback technique. In the case presented, the tooth-size proportion is calculated using a method proposed by German and colleagues that is based on Chu’s research regarding the mean tooth width of the maxillary and mandibular dentition.

You must be signed in to read the rest of this article.

Login Sign Up

Registration on CDEWorld is free. You may also login to CDEWorld with your DentalAegis.com account.

Anomalous, or "peg-shaped," maxillary lateral incisors, which can pose restorative challenges to dentists, are prevalent among approximately 2% of the population.1-3 For these patients, compromised esthetics resulting from the unpleasant shape and related diastemas is a common chief complaint. In many cases, the treatment is multidisciplinary and involves both restorative and orthodontic management. Based on Chu's research regarding the mean tooth width of the maxillary and mandibular dentition, German and colleagues determined the ideal maxillary incisal proportions with a formula in which the width of the lateral incisor equals the width of central incisor minus 2 mm.4,5 When the final shape of restored anomalous lateral incisors is achieved in this ideal proportion, subsequent orthodontic treatment to close the diastemas will result in a more predictable situation.

Various solutions for the restoration of anomalous lateral incisors have appeared over the years. However, in accordance with the principles of minimally invasive dentistry, a direct composite buildup solution seems to be the most appropriate6 when compared with indirect composite veneers or porcelain laminate veneers, particularly for younger patients. There are a variety of layering techniques that can be used, from free hand stratification or use of a silicone index to direct-indirect veneers. The following case report presents the use of the index cutback technique, which is a three-dimensional guided layering approach.7 By the means of a transparent silicone index of the full wax-up and one of the dentin core wax-up, the shape and thickness of the layering is controlled to achieve a predictable result. This is a reliable and reproducible technique for the restoration of anomalous lateral incisors prior to orthodontic treatment.

Case Report

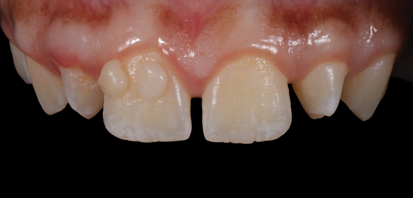
A 16-year-old female patient presented with the chief complaint that she was dissatisfied with the appearance of her anomalous maxillary lateral incisors (teeth Nos. 7 and 10) and multiple diastemas (Figure 1 through Figure 4). She had been referred for restorative treatment after an initial consultation with the orthodontist. Her first restorative appointment was dedicated to data collection, which included a health history and physical examination as well as the acquisition of photographs (facial, dentofacial, dental), videos (chief complaint, F sound, S sound), vinyl polysiloxane (VPS) impressions, a panoramic radiograph, a bite registration, and a facebow registration. The clinical examination revealed that both of the patient's maxillary lateral incisors were peg-shaped. After a discussion about the risks and benefits of different treatment options, such as direct composite restoration, indirect composite veneers, and porcelain laminate veneers, she chose to have her maxillary lateral incisors treated with direct composite buildup restorations. The index cutback technique was chosen for this case instead of a freehand technique in order to create a new shape according to an ideal wax-up but also to be able to control the thickness of the enamel layer.7

Impressions were made with VPS impression material and used to pour two models with plaster. Next, a diagnostic wax-up was created based on the calculation of the ideal width proposed by German and colleagues.4 In this case, the patient's central incisors were both 9.5-mm wide; therefore, the ideal width of the lateral incisors was 7.5 mm. This first wax-up is referred to as the full wax-up (Figure 5 and Figure 6). A second wax-up was then created on the second model to represent the dentin core. This second wax-up is referred to as the cutback wax-up (Figure 7 and Figure 8).

In order to verify the thickness of the enamel mass that would be created, three sets of putty guides were made: one for the incisal edge, one for occlusal control, and one for sagittal control (Figure 9 through Figure 14). The thickness of the enamel material that needed to be placed was 0.2 mm in the cervical third, 0.5 mm in the middle third, and 0.8 mm in the incisal third. In the incisal third, 1 mm was left occlusally.8,9 In addition, two sets of silicone indices were made-one based on the full wax-up and one based on the cutback wax-up (Figure 15 through Figure 18).

At the second appointment, the selected dentin and enamel shades were verified by placing small amounts of composite that were about 0.5-mm thick on the cervical area of the central incisor (Figure 19). After shade selection, isolation was achieved by placing a rubber dam from first bicuspid to first bicuspid (Figure 20), and the maxillary lateral incisors were disinfected with a 2.0% chlorhexidine gluconate solution and polished with contouring and polishing discs (Figure 21). Next, the surfaces were etched for 15 seconds with a 35% phosphoric acid etchant (Figure 22), and an adhesive agent was placed, softly air-dried, and light-cured for 60 seconds (Figure 23).

The adjacent teeth were protected by wrapping them with PTFE tape (Figure 24), and the cutback silicone indices were tried in with the tape in place to verify the seating. Once complete seating was verified, the dentin shade composite was placed directly into the right-side cutback index and condensed onto the walls. The index was then seated intraorally, the composite was gently pressed against the tooth, and the material was light cured from the facial and palatal aspects for 60 seconds each (Figure 25). This same series of steps was performed on the maxillary left lateral incisor using the left-side cutback index, and then the excess composite was removed from both teeth with a No. 12 scalpel blade and a flame-shaped carbide finishing bur without water (Figure 26). In order to recreate the incisal edge halo, a white resin color modifier was added to both maxillary lateral incisors with a brush and light-cured for 20 seconds (Figure 27).

After verifying the seating of the full silicone indices, the enamel shade composite was placed into the full right-side index and condensed onto the walls. The index was then seated intraorally and gently pressed around the maxillary right lateral incisor, and then the material was light cured from the facial and palatal aspects for 60 seconds each (Figure 28). To obtain a harder composite surface, glycerin was applied to the restoration, and it was light cured for an additional 60 seconds.10 This same series of steps was then performed on the left lateral incisor. Once both restorations were completely cured, it could be visualized that the macrogeography and microgeography of the wax-up had been transferred well to the facial surfaces (Figure 29).

The rubber dam was removed from the mouth, and the excess material was removed with a No. 12B scalpel blade and a fine diamond bur. Next, the light-reflecting and light-deflecting zones were verified with a pencil and adjusted with finishing burs.11 The occlusion was then verified statically and dynamically using articulating paper and adjusted as needed. After finishing, the immediate postoperative polishing process was accomplished with a series of polishing discs followed by the use of a buffing disc with a diamond polishing paste (Figure 30). Eight days later, the patient returned to the office, and the final polishing was accomplished with polishing discs and diamond polishing paste (Figure 31 through Figure 35).

An assessment of the shape and shade of the final restorations was performed. It was noted that the incisal edges of the restored lateral incisors were not as white as those of the central incisors. Rather than adding additional stain to the lateral incisors, the patient expressed her desire to have some of the white staining removed from the central incisors using a resin infiltration technique after her orthodontic treatment. The final orthodontic treatment for the maxillary arch would involve closing the spaces in the anterior area, protracting the posterior teeth, and finishing in a Class II relationship. For the mandibular arch, the goal would only be to maintain the current positions of the teeth.

Discussion

In this case, the tooth-size calculations were based on the formula proposed by German and colleagues.4 However, the ideal sizes of teeth and methods to simplify this determination have been discussed in many studies. The most commonly used method to determine tooth-size ratio is the Bolton index, in which an anterior ratio of 77.2 and an overall ratio of 91.3 are necessary for proper coordination of the maxillary and mandibular teeth.12,13 One limitation to the Bolton index approach is the necessity of measuring the width of all 6 anterior mandibular teeth and all 6 anterior maxillary teeth.

Another way to approach the calculation of tooth sizes is to use the recurring esthetic dental (RED) proportion, which is a 2-dimensional evaluation of the apparent width of the teeth from a frontal view.14 In the RED proportion approach, the proportion of the successive widths of the teeth as viewed from the front should remain constant as one moves posteriorly.14 The range of suggested RED proportions is between 62% and 80%.14 Other 2-dimensional evaluations that are based on the apparent width of the teeth from a frontal view have appeared in the literature, such as the use of the golden proportion,15,16 which states that the width of the lateral incisor should be 0.618 times the width of the central incisor.

One obvious limitation to these techniques is the imprecision of measuring the "apparent width" of teeth using photographs. Another limitation is that the calculation is time-consuming. When the RED proportion approach is used, prior to the calculations, the dentist must choose the type of teeth desired, which can be very tall, tall, normal, short, or very short. This decision is not always able to be readily determined. Moreover, several studies17,18 have shown that the RED proportion and golden proportion were not the proportions predominantly observed among natural teeth. Because the formula developed by German and colleagues only required the width of the central incisors and was based on population derived tooth-size proportions, it was the easiest and most accurate to use for the purposes of the case presented.

The index cutback technique was chosen in order to create the shade and translucency effect desired. The observed shade of a tooth is a combination of the shade of the dentin and the shade of the enamel.19,20 In order to replicate the overall shade of the adjacent teeth, the clinician has to understand the role that each part plays. Enamel translucency can vary and affect the appearance of the dentin color. Using the index cutback technique in this case also offered other advantages. For example, it is easier to rely on indices than freehand techniques to create tooth anatomy, which includes the line angles, the incisal edge particularities, and the complex surface characteristics. In addition, the index cutback technique adheres to the principles of minimally invasive dentistry, and if re-treatment is required at a later date, it is easier to accomplish than when ceramic restorations are used.

An accurate selection of composite resin materials allows clinicians to closely replicate the various aspects of teeth. The dentin and enamel can vary significantly regarding translucency, chromaticity, and brightness. Teeth may consist of several layers, including opalescent enamel, chromatic enamel, translucent dentin, and opaque dentin.16 There are many options that can be used to achieve proper thickness of the enamel shade material. Sample disks of various thicknesses of composite can be used to evaluate the chromatic results.21 For translucency to be observed, it is important for the enamel shade material to be between 0.5 mm and 1.0 mm thick.22

Because it can be clinically difficult to perform a good layering technique to reproduce enamel, the index cutback technique provided an easier solution. Another possibility would have been to use an injection molding technique with a flowable composite resin. This technique provides a quick way to duplicate a wax-up. New, more highly filled flowable composite formulations are available that demonstrate higher strength, wear resistance, and color stability. However, further research is needed to ascertain the long-term efficacy of these materials when used to create injection-molded restorations.23 In addition, this technique lacks the ability to develop precise dentin and enamel layers.

When compared with placing ceramic restorations, the use of the index cutback technique to restore anomalous lateral incisors with composite is a faster solution regarding the number of appointments required. There is also no need for laboratory work or provisional restorations, and it can be performed at a lower cost for the patient. When the restoration of anomalous lateral incisors is to be followed by orthodontic treatment, the index cutback technique is advantageous because bonding braces to composite restorations is much easier than bonding them to ceramic ones.24,25

In this case, communication with the orthodontist was critical to the predictability of the outcome. The esthetic deficiency created by peg-shaped lateral incisors is due to their malformation and the resulting spaces between the anterior teeth.26 The decision to restore peg-shaped lateral incisors prior to orthodontic treatment allows for the creation of ideal mesiodistal spaces. If the spaces were closed with orthodontic treatment prior to correcting the dimensions of the lateral incisors, they would have been too narrow and would have led to an unpleasant outcome. In addition, the arch shape, facial contours, and occlusion may have been affected.

Queries regarding this course may be submitted to authorqueries@broadcastmed.com

About the Authors

Sharon Krief, DDS
Junior Resident
Odontology Department
Timone Hospital
Aix-Marseille University
Marseille, France
Advanced Program for International Dentists in Esthetic Dentistry
College of Dentistry
New York University
New York, New York

Richard  Trushkowsky, DDS
Adjunct Clinical Professor
Cariology and Comprehensive Care
Associate Program Director
Advanced Program for International Dentists in Esthetic Dentistry
College of Dentistry
New York University
New York, New York

Guy Carnazza, DMD
Clinical Assistant Professor
Cariology and Comprehensive Care
Clinical Assistant Professor
Advanced Program for International Dentists in Esthetic Dentistry
College of Dentistry
New York University
New York, New York

References

1. Brin I, Becker A, Shalhav M. Position of the maxillary permanent canine in relation to anomalous or missing lateral incisors: a population study. Eur J Orthod. 1986;8(1):12-16.

2. Simić S, Pavlović J, Nikolić PV, et al. The prevalence of peg-shaped and missing lateral incisors with maxillary impacted canines. Vojnosanit Pregl. 2019;76(1):61-66.

3. Kim JH, Choi NK, Kim SM. A retrospective study of association between peg-shaped maxillary lateral incisors and dental anomalies. J Clin Pediatr Dent. 2017;41(2):150-153.

4. German DS, Chu SJ, Furlong ML, Patel A. Simplifying optimal tooth-size calculations and communications between practitioners. Am J Orthod Dentofacial Orthop. 2016;150(6):1051-1055.

5. Chu SJ. Range and mean distribution frequency of individual tooth width of the maxillary anterior dentition. Pract Proced Aesthet Dent. 2007;19(4):209-215.

6. Dietschi D. Layering concepts in anterior composite restorations. J Adhes Dent. 2001;3(1):71-80.

7. Ammannato R, Ferraris F, Allegri M. The "index cutback technique": a three-dimensional guided layering approach in direct class IV composite restorations. Int J Esthet Dent. 2017;12(4):450-466.

8. Ferraris F, Diamantopoulou S, Acunzo R, Alcidi R. Influence of enamel composite thickness on value, chroma and translucency of a high and a nonhigh refractive index resin composite. Int J Esthet Dent. 2014;9(3):382-401.

9. Vichi A, Fraioli A, Davidson CL, Ferrari M. Influence of thickness on color in multi-layering technique. Dent Mater.2007;23(12):1584-1589.

10. Park HH, Lee IB. Effect of glycerin on the surface hardness of composites after curing. J Korean Acad Conserv Dent. 2011;36(6):483-489.

11. Vargas MA, Margeas R. A systematic approach to contouring and polishing anterior resin composite restorations: a checklist manifesto. J Esthet Restor Dent. 2021;33(1):20-26.

12. Bolton WA. Disharmony in tooth size and its relation to the analysis and treatment of malocclusion. Angle Orthod. 1958;28(3):113-130.

13. Kinzer GA, Kokich VO Jr. Managing congenitally missing lateral incisors. Part II: tooth-supported restorations. J Esthet Restor Dent.2005;17(2):76-84.

14. Ward DH. Proportional smile design: using the recurring esthetic dental proportion to correlate the widths and lengths of the maxillary anterior teeth with the size of the face. Dent Clin North Am. 2015;59(3):623-638.

15. Levin EI. Dental esthetics and the golden proportion. J Prosthet Dent. 1978;40(3):244-252.

16. Snow SR. Esthetic smile analysis of maxillary anterior tooth width: the golden percentage. J Esthet Restor Dent. 1999;11(4):177-184.

17. Preston JD. The golden proportion revisited. J Esthet Restor Dent. 1993;5(6):247-251.

18. Shetty S, Pitti V, Satish Babu C, et al. To evaluate the validity of recurring esthetic dental proportion in natural dentition. J Conserv Dent. 2011;14(3):314-317.

19. Fahl N Jr. A polychromatic composite layering approach for solving a complex Class IV/direct veneer-diastema combination: part I. Pract Proced Aesthet Dent. 2006;18(10):641-645.

20. Villarroel M, Fahl N, De Sousa AM, De Oliveira OB Jr. Direct esthetic restorations based on translucency and opacity of composite resins. J Esthet Restor Dent.2011;23(2):73-87.

21. Devoto W, Saracinelli M, Manauta J. Composite in everyday practice: how to choose the right material and simplify application techniques in the anterior teeth. Eur J Esthet Dent. 2010;5(1):102-124.

22. Duarte S Jr, Sartori N, Phark JH. Achieving the ultimate optical properties of composite resin. Quintessence Dent Technol. 2013;36:39-57.

23. Ypei Gia NR, Sampaio CS, Higashi C, et al. The injectable resin composite restorative technique: a case report. J Esthet Restor Dent. 2021;33(3):404-414.

24. Major PW, Koehler JR, Manning KE. 24-hour shear bond strength of metal orthodontic brackets bonded to porcelain using various adhesion promoters. Am J Orthod Dentofacial Orthop. 1995;108(3):322-329.

25. Smith GA, McInnes-Ledoux P, Ledoux WR, Weinberg R. Orthodontic bonding to porcelain-bond strength and refinishing. Am J Orthod Dentofacial Orthop. 1988;94(3):245-252.

26. Schmitz JH, Coffano R, Bruschi A. Restorative and orthodontic treatment of maxillary peg incisors: a clinical report. J Prosthet Dent. 2001;85(4):330-334.

(1.) Pretreatment smile, left lateral smile, and right lateral smile photographs, respectively, showing the patient’s peg-shaped lateral incisors.

Figure 1

(2.) Pretreatment smile, left lateral smile, and right lateral smile photographs, respectively, showing the patient’s peg-shaped lateral incisors.

Figure 2

(3.) Pretreatment smile, left lateral smile, and right lateral smile photographs, respectively, showing the patient’s peg-shaped lateral incisors.

Figure 3

(4.) Pretreatment retracted occlusal photograph showing the multiple diastemas.

Figure 4

(5.) Close-up views of the full wax-up of teeth Nos.7 and 10, respectively.

Figure 5

(6.) Close-up views of the full wax-up of teeth Nos.7 and 10, respectively.

Figure 6

(7.) Close-up views of the cutback wax-up of teeth Nos. 7 and 10, respectively.

Figure 7

(8.) Close-up views of the cutback wax-up of teeth Nos. 7 and 10, respectively.

Figure 8

(9.) Putty guide for incisal edge verification on teeth Nos. 7 and 10, respectively.

Figure 9

(10.) Putty guide for incisal edge verification on teeth Nos. 7 and 10, respectively.

Figure 10

(11.) Putty guide for occlusal verification on teeth Nos. 7 and 10, respectively.

Figure 11

(12.) Putty guide for occlusal verification on teeth Nos. 7 and 10, respectively.

Figure 12

(13.) Putty guide for sagittal verification on teeth Nos. 7 and 10, respectively.

Figure 13

(14.) Putty guide for sagittal verification on teeth Nos. 7 and 10, respectively.

Figure 14

(15.) Silicone index of the full wax-up of teeth Nos. 7 and 10, respectively, on the model.

Figure 15

(16.) Silicone index of the full wax-up of teeth Nos. 7 and 10, respectively, on the model.

Figure 16

(17.) Silicone index of the cutback wax-up of teeth Nos. 7 and 10, respectively, on the model.

Figure 17

(18.) Silicone index of the cutback wax-up of teeth Nos. 7 and 10, respectively, on the model.

Figure 18

(19.) Pretreatment retracted close-up view of the maxillary arch with dots of composite placed on the maxillary right central incisor to verify the selected dentin and enamel shades.

Figure 19

(20.) A rubber dam was placed to achieve isolation.

Figure 20

(21.) Disinfection of the maxillary lateral incisors with a 2.0% chlorhexidine gluconate solution.

Figure 21

(22.) The surfaces were etched for 15 seconds with a 35% phosphoric acid etchant.

Figure 22

(23.) An adhesive agent was placed, softly air-dried, and then light cured for 60 seconds.

Figure 23

(24.) The adjacent teeth were covered with PTFE tape to protect them.

Figure 24

(25.) Placement of the dentin shade composite with the cutback silicone index.

Figure 25

(26.) View of the cured dentin shade composite after removal of the excess material.

Figure 26

(27.) To recreate the incisal edge halo, a white resin color modifier was added to both maxillary lateral incisors with a brush and light-cured for 20 seconds.

Figure 27

(28.) Placement of the enamel shade composite with the full silicone index.

Figure 28

(29.) View of the cured enamel shade composite prior to finishing and polishing. Note how the macrogeography and microgeography of the wax-up was transferred to the facial surfaces of teeth Nos. 7 and 10.

Figure 29

(30.) View of the restorations after the immediate postoperative finishing and polishing was accomplished.

Figure 30

(31.) Retracted maxillary view of the completed restorations after final polishing.

Figure 31

(32.) Posttreatment smile, left lateral smile, and right lateral smile photographs, respectively.

Figure 32

(33.) Posttreatment smile, left lateral smile, and right lateral smile photographs, respectively.

Figure 33

(34.) Posttreatment smile, left lateral smile, and right lateral smile photographs, respectively.

Figure 34

(35.) Posttreatment retracted occlusal view of the final restorations.

Figure 35

Take the Accredited CE Quiz:

CREDITS: 2 SI
AGD CODE: 250 - Operative (Restorative) Dentistry
COST: $16.00
PROVIDER: Conexiant Education
SOURCE: Inside Dentistry | November 2023

Learning Objectives:

  • Discuss some of the methods that can be used to calculate tooth-size proportions, including the method developed by German and colleagues, the Bolton index, the RED proportion, and the golden proportion.
  • Summarize the advantages of restoring anomalous maxillary lateral incisors with the index cutback technique when compared with other methods.
  • Describe some of the methods that can be used to achieve the final shade and level of translucency desired when restoring anomalous maxillary lateral incisors with composite.

Disclosures:

The author reports no conflicts of interest associated with this work.

Queries for the author may be directed to justin.romano@broadcastmed.com.